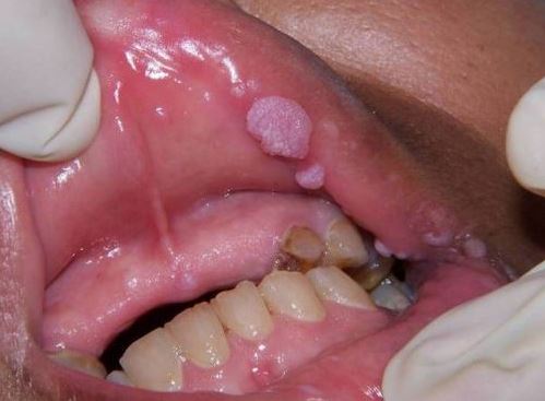
Ο HPV (Human papilloma virus, ιός των ανθρωπίνων θηλωμάτων) είναι ένας
ιός που βασίζεται στο DNA (dsDNA) και μολύνει το δέρμα και τις
βλεννογόνες μεμβράνες των ανθρώπων και ορισμένων ζώων.
Μία από τις πιο πρόσφατες τεχνολογίες που χρησιμοποιούνται στην παραγωγή νέων εμβολίων περιλαμβάνει τη χρήση των κυστιδίων εξωτερικής μεμβράνης (OMVs), ένα είδος παθογόνων βακτηρίων που μιμείται τα φωσφολιπίδια που βρίσκονται φυσικά στο ανθρώπινο σώμα, ως εξατομικεύσιμοι βοηθοί των εμβολίων. Αλλά τα εμβόλια που χρησιμοποιούν αυτήν την μη δοκιμασμένη τεχνολογία, τα οποία περιλαμβάνουν τα εμβόλια για τον τέτανο, των ανθρωπίνων θηλωμάτων (HPV) και της γρίπης, συνδέονται πλέον με την πρόκληση μιας δυνητικά θανατηφόρας αυτοάνοσης ασθένειας που είναι γνωστή ως αντιφωσφολιπιδικό σύνδρομο (APS).
Αρκετές πρόσφατες μελέτες που έχουν δημοσιευθεί σε περίοπτα ιατρικά περιοδικά, έχουν ερευνήσει τη σχέση μεταξύ APS, που ανήκουν σε μια ευρύτερη κατηγορία εμβόλιο-προκληθεισών συνθηκών υγιεινής που είναι γνωστό ως αυτοάνοσο / φλεγμονώδες σύνδρομο που προκαλείται από τα ανοσοενισχυτικά (ASIA) και τα εμβόλια, και διαπίστωσαν ότι τα ΟΜνς συνδέονται άμεσα με την ενεργοποίηση APS. Όπως το κοινό εμβόλιο ανοσοενισχυτικό σκουαλένιο, τα υλικά φωσφολιπιδίου του εμβολίου, όταν εγχέονται στο σωματικό ιστό, μπορεί να προκαλέσουν μία ανοσολογική απόκριση που καταλήγει προκαλώντας τον οργανισμό να επιτεθεί στα φυσικά φωσφολιπίδιά του.
Όσον αφορά το εμβόλιο τετάνου, οι εγχύσεις που περιέχουν τα OMVs και το
ανασυνδυαζόμενο (γενετικά-τροποποιημένο) DNA, εμφανίζεται να προκαλούν
τύφλωση, καρδιαγγειακή νόσο, πονοκεφάλους και ημικρανίες, αποβολές,
δερματικές διαταραχές, έλκη, νέκρωση, και νευρολογικές διαταραχές. Και
όπως ένα αυξανόμενο ποσό εμβολίων μετατρέπεται ήσυχα στα OMV-βασισμένα
βοηθητικά μίγματα, η επικράτηση APS αναμένεται επίσης να συνεχίσει, όπως
έχει ήδη εδώ και αρκετό καιρό.
«Τα ΟΜνς είναι ακόμη ακριβέστερα ανάλογα με τον ανθρώπινο ιστό (από σκουαλένιο), γιατί δεν είναι μόνο τα λιπίδια, που είναι φωσφολιπίδια – όποιος είναι ακριβώς σε αυτό που το σώμα επιτίθεται APS«, εξηγεί ο Heidi Stevenson από το Γαία Υγείας σχετικά με την αυξανόμενη επικράτηση του εμβολίου-που προκαλείται από τα APS. «Ως εκ τούτου, μπορούμε να αναμένουμε ότι θα υπάρξουν όλο και περισσότερες περιπτώσεις APS, δεδομένου ότι βλέπουμε την έγκριση των OMV-βασισμένων εμβολίων, τα οποία βρίσκονται σε εξέλιξη τώρα.»
Το Cervarix, ο ανταγωνιστής εμβολίων HPV στη Merck & Gardasil της Co, Το Gardasil, περιέχει ΟΜνς, όπως κάνουν μερικά εμβόλια της γρίπης – και πολλά περισσότερα κοινά εμβόλια αναδιατυπώνονται με OMVs αυτήν την στιγμή. Αυτό σημαίνει ότι μπορούμε να αναμένουμε μια αύξηση του αριθμού των εμβολιασθέντων ατόμων να αναπτύξουν αυτοάνοσα συμπτώματα όπως προχωράμε προς το μέλλον. Και αυτά τα συμπτώματα είναι πιθανό να είναι συστηματικά, όπως τα APS μπορούν να στοχεύσουν σχεδόν όλες τις περιοχές του σώματος.
«Οι άνθρωποι με APS υποφέρουν από τα αντισώματα φωσφολιπιδίων που καταστρέφουν λανθασμένα μέρη του ματιού, το καρδιαγγειακό σύστημα, τον εγκέφαλο, τα νεύρα, το δέρμα, το αναπαραγωγικό σύστημα – με λίγα λόγια, οποιοδήποτε μέρος του σώματος«, προσθέτει ο Stevenson για τη φρικιαστική φύση αυτού του σχετικά νέου όρου. «Αυτή η αυτοκαταστροφή προκαλείται από τις τεχνολογίες των εμβολίων.»
Για να είστε βέβαιοι να διαβάσετε την πλήρη έκθεση του Stevenson για το εμβόλιο που προκαλείται από APS ΕΔΩ.
Μία από τις πιο πρόσφατες τεχνολογίες που χρησιμοποιούνται στην παραγωγή νέων εμβολίων περιλαμβάνει τη χρήση των κυστιδίων εξωτερικής μεμβράνης (OMVs), ένα είδος παθογόνων βακτηρίων που μιμείται τα φωσφολιπίδια που βρίσκονται φυσικά στο ανθρώπινο σώμα, ως εξατομικεύσιμοι βοηθοί των εμβολίων. Αλλά τα εμβόλια που χρησιμοποιούν αυτήν την μη δοκιμασμένη τεχνολογία, τα οποία περιλαμβάνουν τα εμβόλια για τον τέτανο, των ανθρωπίνων θηλωμάτων (HPV) και της γρίπης, συνδέονται πλέον με την πρόκληση μιας δυνητικά θανατηφόρας αυτοάνοσης ασθένειας που είναι γνωστή ως αντιφωσφολιπιδικό σύνδρομο (APS).
Αρκετές πρόσφατες μελέτες που έχουν δημοσιευθεί σε περίοπτα ιατρικά περιοδικά, έχουν ερευνήσει τη σχέση μεταξύ APS, που ανήκουν σε μια ευρύτερη κατηγορία εμβόλιο-προκληθεισών συνθηκών υγιεινής που είναι γνωστό ως αυτοάνοσο / φλεγμονώδες σύνδρομο που προκαλείται από τα ανοσοενισχυτικά (ASIA) και τα εμβόλια, και διαπίστωσαν ότι τα ΟΜνς συνδέονται άμεσα με την ενεργοποίηση APS. Όπως το κοινό εμβόλιο ανοσοενισχυτικό σκουαλένιο, τα υλικά φωσφολιπιδίου του εμβολίου, όταν εγχέονται στο σωματικό ιστό, μπορεί να προκαλέσουν μία ανοσολογική απόκριση που καταλήγει προκαλώντας τον οργανισμό να επιτεθεί στα φυσικά φωσφολιπίδιά του.

«Τα ΟΜνς είναι ακόμη ακριβέστερα ανάλογα με τον ανθρώπινο ιστό (από σκουαλένιο), γιατί δεν είναι μόνο τα λιπίδια, που είναι φωσφολιπίδια – όποιος είναι ακριβώς σε αυτό που το σώμα επιτίθεται APS«, εξηγεί ο Heidi Stevenson από το Γαία Υγείας σχετικά με την αυξανόμενη επικράτηση του εμβολίου-που προκαλείται από τα APS. «Ως εκ τούτου, μπορούμε να αναμένουμε ότι θα υπάρξουν όλο και περισσότερες περιπτώσεις APS, δεδομένου ότι βλέπουμε την έγκριση των OMV-βασισμένων εμβολίων, τα οποία βρίσκονται σε εξέλιξη τώρα.»
Το Cervarix, ο ανταγωνιστής εμβολίων HPV στη Merck & Gardasil της Co, Το Gardasil, περιέχει ΟΜνς, όπως κάνουν μερικά εμβόλια της γρίπης – και πολλά περισσότερα κοινά εμβόλια αναδιατυπώνονται με OMVs αυτήν την στιγμή. Αυτό σημαίνει ότι μπορούμε να αναμένουμε μια αύξηση του αριθμού των εμβολιασθέντων ατόμων να αναπτύξουν αυτοάνοσα συμπτώματα όπως προχωράμε προς το μέλλον. Και αυτά τα συμπτώματα είναι πιθανό να είναι συστηματικά, όπως τα APS μπορούν να στοχεύσουν σχεδόν όλες τις περιοχές του σώματος.
«Οι άνθρωποι με APS υποφέρουν από τα αντισώματα φωσφολιπιδίων που καταστρέφουν λανθασμένα μέρη του ματιού, το καρδιαγγειακό σύστημα, τον εγκέφαλο, τα νεύρα, το δέρμα, το αναπαραγωγικό σύστημα – με λίγα λόγια, οποιοδήποτε μέρος του σώματος«, προσθέτει ο Stevenson για τη φρικιαστική φύση αυτού του σχετικά νέου όρου. «Αυτή η αυτοκαταστροφή προκαλείται από τις τεχνολογίες των εμβολίων.»
Για να είστε βέβαιοι να διαβάσετε την πλήρη έκθεση του Stevenson για το εμβόλιο που προκαλείται από APS ΕΔΩ.
loading...
